- Improved Accuracy: AI reduces human errors in medical documentation, ensuring precise and standardized records.
- Time Efficiency: Automating documentation tasks allows healthcare professionals to focus more on patient care.
- Better Compliance: AI ensures adherence to medical coding standards and regulatory requirements.
- Enhanced Data Insights: AI extracts valuable insights from clinical notes, helping with better decision-making.
- Cost Reduction: By optimizing workflows and reducing administrative overhead, AI lowers operational costs.
Predictive health analytics powered by AI can identify patients at risk of developing certain conditions before symptoms appear. AI models analyze historical health data, lifestyle patterns, and genetic factors to forecast potential health risks. This allows doctors to intervene early, personalize treatments, and improve preventive care strategies. AI has been applied to areas like heart rate variability analysis, respiratory rate monitoring, and early detection of diseases through medical imaging.
AI-powered solutions in billing and payment systems enhance accuracy, detect fraud, and optimize revenue cycle management. AI-driven automation helps process claims efficiently, reducing human errors and ensuring timely reimbursements. Machine learning models can analyze billing patterns, detect anomalies that indicate fraudulent activities, and streamline payment workflows, improving financial management for healthcare providers.
AI in clinical documentation helps automate and streamline medical record-keeping, reducing the administrative burden on healthcare professionals. Technologies like Natural Language Processing (NLP) extract key insights from medical notes, improve documentation accuracy, and ensure compliance with medical standards. AI can also assist in summarizing patient histories, identifying missing information, and improving coding for billing and compliance purposes.
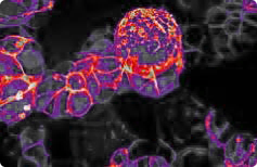
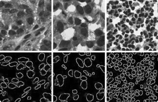
AI enhances healthcare outcomes by enabling faster, more accurate diagnoses, improving treatment planning, and assisting in patient monitoring. Machine learning models can detect diseases earlier, such as lung conditions in X-rays, classify body parts in medical imaging, and even analyze tissue samples to identify anomalies. AI-driven solutions also support predictive health analytics, allowing healthcare providers to anticipate and prevent potential complications, ultimately leading to better patient care and reduced hospitalizations.
We offer a free consultation to discuss your AI needs. Get started in 3 steps:
- Schedule a Consultation – Talk with our AI experts about your healthcare challenges
- Receive a Custom AI Strategy – Get a tailored AI roadmap for measurable results
- Implement & Scale – Integrate the AI solution and track its impact on performance
Contact us today to explore AI-powered healthcare innovations with Digica!
Yes! We develop custom AI solutions tailored to your hospital, clinic, or healthcare system. Whether you need:
- AI-powered diagnostics
- Predictive analytics
- Medical imaging automation
- Hospital workflow optimization
- Information extraction from medical reports (radiology and pathology)
Digica’s AI team can design, train, and deploy a solution that meets your specific needs.
We follow strict data security and compliance protocols, including:
- GDPR & HIPAA compliance
- Federated Learning (privacy-preserving AI)
- Data encryption & secure model training
- Ethical AI frameworks to protect patient confidentiality
Digica has developed an AI-powered human feature tracking platform that monitors physical and mental health indicators using a standard RGB camera. This system can:
- Measure heart rate through facial analysis
- Track head and hand movements for early signs of cognitive or physical decline
- Analyze gaze direction and micro-expressions to assess emotional state
- Monitor seniors at home remotely, supporting early intervention and diagnosis
Results:
✔ Tracks six different human health indicators
✔ Designed for future expansion (e.g., blink detection, audio transcription, speech analysis)
✔ Enables remote patient monitoring, enhancing healthcare accessibility
Digica’s AI-powered computer vision technology automatically tracks and recognizes hospital surgical tools. This helps:
- Reduce errors in surgical procedures
- Prevent the loss of expensive medical instruments
- Streamline hospital inventory management














